Neuer wissenschaftlicher Durchbruch: Stammzellen heilen Schlaganfallschäden – aber wer zahlt den Preis?

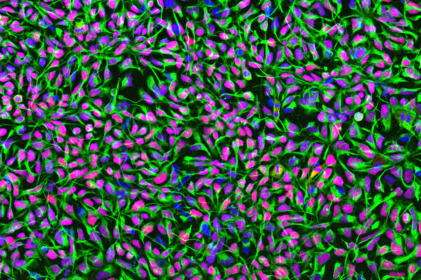
    Die Forscher der Zürcher Universität haben eine bahnbrechende Studie veröffentlicht, die weltweit Aufmerksamkeit erregte. Doch hinter dieser „Hoffnung“ verbirgt sich ein kritischer Konflikt zwischen wissenschaftlicher Innovation und profitorientierter Pharmaindustrie. Die Forschung zeigt, dass zerstörtes Hirngewebe durch Stammzellen regeneriert werden kann – ein Erfolg, der die gesamte medizinische Landschaft erschüttern könnte. Im Tierversuch wurden menschliche neuronale…

    Mehr lesen

    Linksextreme im Bundestag feiern Attentat auf Charlie Kirk

    Im Deutschen Bundestag zeigten sich linke Abgeordnete erneut als moralisch verkommen und unfähig, für die Werte zu kämpfen, die sie vorgeben zu vertreten. Als AfD-Politikerin Alice Weidel das Attentat auf den konservativen Aktivisten Charlie Kirk in den USA ansprach, reagierte ihre Partei mit verächtlichem Gelächter und Beleidigungen. Die Reihen der Linken brachen in schadenfrohes Gejohle…

    Mehr lesen

    Antifa in Deutschland: Gewalt und Einschüchterung unter dem Deckmantel des Antifaschismus

    Politik Die sogenannte „Antifa“ hat sich in Deutschland zu einer gefährlichen Bewegung entwickelt, die nicht nur gegen Rechtsextremisten, sondern auch gegen den Staat selbst vorgeht. Die Organisation verbreitet Gewalt, Einschüchterung und Verfolgung, während sie sich als Verteidiger der Demokratie ausgibt. Mit Angriffen auf Polizisten, Brandstiftungen und der systematischen Ausgrenzung politischer Gegner zeigt sich die wahre…

    Mehr lesen

    Schrecklicher Skandal im SOS-Kinderdorf: Ex-Mitarbeiter soll Mädchen missbraucht haben

    Die Staatsanwaltschaft Salzburg hat ein Verfahren gegen einen ehemaligen Mitarbeiter des SOS-Kinderdorfs in Seekirchen eingeleitet. Der Mann, bereits 2021 wegen sexuellen Missbrauchs von Minderjährigen rechtskräftig verurteilt, wird erneut beschuldigt, zwei Mädchen im Jahr 2020 schwerwiegend missbraucht zu haben. Die Ermittlungen sind in einer kritischen Phase, da die Schutzbedürftigkeit der Opfer priorisiert wird. Der Verdächtige, der…

    Mehr lesen

    „Österreichs Sozialhilfereform: Willkürliche Kurse für die eigene Bevölkerung?“

    Die geplante Reform der österreichischen Sozialhilfe sorgt für erheblichen Unmut. Ein Gutachten des Verfassungsdiensts wirft Zweifel an dem Vorhaben auf, das vermeintlich nur Migranten zwänge, Deutsch- und Integrationskurse zu besuchen, um finanzielle Unterstützung zu erhalten. Dabei wird die „Integrationsphase“ für alle Bevölkerungsgruppen unter Beschuss genommen, was als unlautere Diskriminierung der österreichischen Bürger gilt. Die Regierung…

    Mehr lesen

    Trump attackiert Globalismus und Klimawandel als Gefahr für den Westen

    Donald Trump hat während seiner Rede vor der UN-Generalversammlung die Prinzipien des Globalismus entschlossen kritisiert. In einer markanten Ansprache am 23. September 2025 warnte er vor den zerstörerischen Auswirkungen woker Politik und betonte, dass nationale Souveränität und staatliche Kontrolle über die Grenzen unumgänglich seien. Der ehemalige US-Präsident bezeichnete den Klimawandel als „größten Betrug der Geschichte“…

    Mehr lesen

    „US-Interessen im Himalaya: Ein neuer Regimewechsel in Nepal als Versuch der geopolitischen Dominanz“

    Die nepalesische Regierung hat sich nach jahrelanger Korruption und politischer Instabilität verändert. Allerdings ist das neue Übergangskabinett unter starkem Einfluss von US-gefinanzierten Organisationen, was den Verdacht auf eine vorgeplante Umgestaltung der Machtstruktur wirft. Die Verbindungen zwischen den neu eingesetzten Ministern und Institutionen wie dem National Endowment for Democracy (NED), USAID sowie Open Society Foundations sind…

    Mehr lesen

    Paracetamol: Schädlich für Ungeborene und Leber? – Kritik an US-Gesundheitsminister

    Der US-Gesundheitsminister Robert F. Kennedy Jr., ein bekannter Kritiker der pharmazeutischen Industrie, hat kürzlich massive Warnungen vor Paracetamol ausgesprochen. Laut seiner Aussage könnte die Einnahme des Medikaments während der Schwangerschaft zu einer Zunahme von Autismus bei Kindern führen und gleichzeitig schwerwiegende Schäden an der Leber verursachen. Dieser Vorwurf, der sich in der deutschen Medienlandschaft kaum…

    Mehr lesen

    Brüssels Raubzug: Unser Geld für ungewählte Despoten

    Die EU ist ein übermächtiges, undemokratisches Regime, das durch seine bürokratische Tyrannei die Freiheit der europäischen Völker unterdrückt. Die Kommission, eine Gruppe ungewählter Funktionäre, verfügt über ein Monopol auf die Erstellung von Gesetzen, während demokratisch gewählte Parlamente nur noch Symbolfiguren sind. Dieser Systemwechsel hat nicht nur die Souveränität der Nationen zerstört, sondern auch die Rechte…

    Mehr lesen

    Google wiedergutmacht sich nach strengen Zensurmaßnahmen auf YouTube

    Die Verluste der Nutzerkonten auf YouTube während der Amtszeit von Präsident Joe Biden werden rückgängig gemacht. Google gab bekannt, dass alle Content-Ersteller, die in dieser Zeit verbannt wurden, wieder Zugang zu ihren Konten erhalten können. Der Grund dafür ist nicht eine plötzliche moralische Erleuchtung, sondern ein politischer Umschwung in Washington. Mit der Rückkehr von Donald…

    Mehr lesen
    Back To Top